This patient wanted a seamless, permanent replacement for a single missing tooth. A carefully placed dental implant was restored to match the surrounding teeth perfectly. The result is a strong, incredibly natural-looking smile that blends effortlessly.
Case 2
This patient desired a functional and natural-looking smile but had budget constraints. By strategically placing three implants and adding a veneer, we restored their ability to chew comfortably and created a beautiful, denture-free smile.
Case 3
This patient desired a permanent solution after a bridge failure, opting for one implant and a two-tooth restoration. We delivered a functional and natural-looking smile in less than three months, eliminating the need for a denture.
Case 4
This patient, who frequently interacts with clients during work, felt self-conscious about their smile. We strategically placed 4 implants and added veneers to create a natural-looking and harmonious smile, boosting their confidence in professional settings.
Case 5
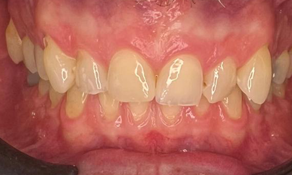
Years of patchwork dentistry left this patient unhappy with her smile. Instead of dentures, Dr. Geoff Gordon restored her smile with 3 implants and zirconia crowns, creating a beautiful and natural-looking result.
Case 6
Years of struggling with an uncomfortable denture left this patient embarrassed about her smile. Dr. Geoff Gordon transformed her confidence with two full arches of implants, creating a stunning and natural-looking result.
Case 7
This patient wanted a confident, natural-looking smile. Dr. Geoff Gordon used a combination of veneers and crowns to achieve a stunning transformation. The result is a healthy, radiant smile that balances function and aesthetics.
Case 8
This patient needed to restore proper chewing function in the back of their mouth. By placing four implants and securing two implant-supported bridges, we were able to rebuild the posterior bite and bring back comfort and stability - without the need for removable dentures.
Case 9
This patient was concerned with the appearance of their front teeth. By completing a simple veneer case over the course of two appointments, we were able to enhance their smile with minimal chair time. The total treatment took just 60 minutes - efficient and effective.
Case 10
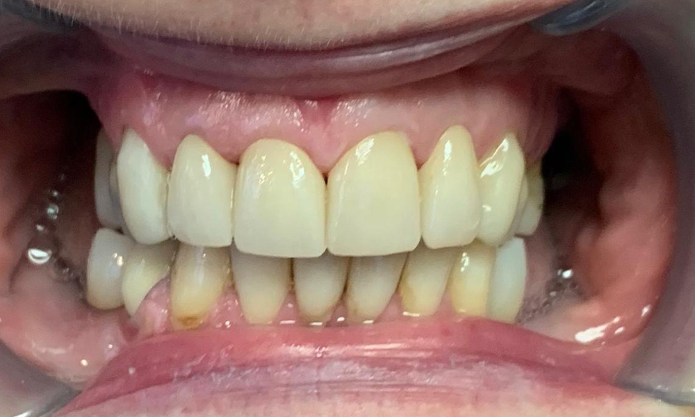
This patient required full-arch rehabilitation to restore both function and aesthetics. Under the expert care of Dr. Geoff Gordon, 12 implants were placed and restored with top-tier zirconia prosthetics. The full treatment spanned approximately 6–9 months and the result was a durable, high-end smile - well worth the wait.
Case 11
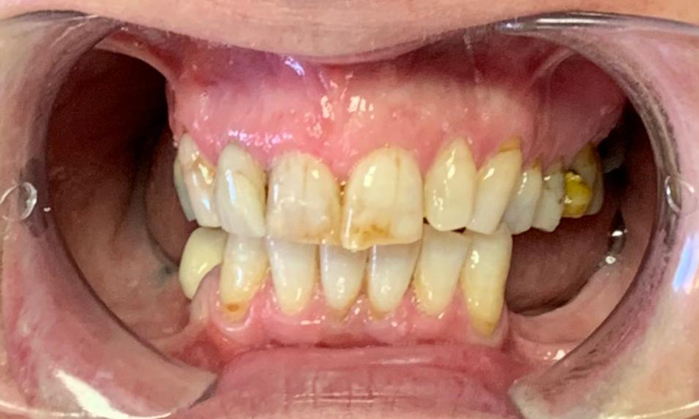
This patient was struggling with chewing due to missing back teeth and lacked support for their front teeth. Dr. Geoff Gordon placed three dental implants and restored them with five implant-supported teeth, successfully reestablishing a stable and functional bite. This solution eliminated the need for a removable denture and allowed the patient to enjoy eating again — starting with steak and chips on their first night!
Case 12
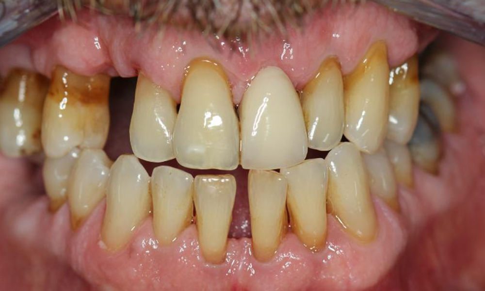
This patient came to us with several failing teeth and was struggling to eat and feel confident in their smile. Dr. Geoff Gordon performed the implant surgery, and the restorative work was completed by Willie, with Geoff mentoring and guiding the process. Together, they gave the patient a strong, healthy bite and a renewed sense of confidence — all without the need for removable dentures.